...

99mTc-maraciclatide отримав статус Fast Track FDA: прорив у діагностиці інтерстиційної хвороби легень

автор Коган Євген
виявлення інтерстиційної патології легень

Вступ: новий інструмент для складного діагнозу

Управління з продовольства та медикаментів США надало статус Fast Track радіофармпрепарату 99mTc-maraciclatide. Цей крок прискорить розвиток інноваційного засобу для візуалізації запалення у пацієнтів з інтерстиційною хворобою легень. Діагностика інтерстиційної хвороби легень завжди була складним завданням для клініцистів. Тепер з’являється надія на більш точні методи. Статус Fast Track призначений для прискорення розробки лікарських засобів. Вони мають вирішувати серйозні проблеми з невдоволеними медичними потребами.

обстеження при інтерстиційній хворобі легень

Що означає статус Fast Track FDA?

Статус Fast Track – це спеціальна програма регуляторного агентства США. Вона спрямована на прискорення розробки перспективних препаратів. Такі засоби мають потенціал для лікування серйозних захворювань. Також вони мають задовольняти невдоволені медичні потреби. Отримання цього статусу надає розробникам низку переваг. Серед них – можливість прискореної схвалення та пріоритетного огляду. Також передбачаються частіші зустрічі з експертами FDA. Дозволяється поетапне подання матеріалів досьє в міру їх підготовки. Це суттєво скорочує загальний час виведення препарату на ринок.

Історичний контекст програми Fast Track

Програма Fast Track була створена FDA ще у 1997 році. Вона стала відповіддю на критику повільних процедур схвалення. Особливо це стосувалось препаратів від ВІЛ/СНІДу та онкології. З часом програма розширилась на інші терапевтичні області. Серед них – рідкісні захворювання та серйозні інфекції. Статус можуть отримати як ліки, так і діагностичні агенти. Критерієм є потенціал для покращення стандартів лікування. Також важлива можливість заповнити прогалину в наявних підходах.

Інтерстиційна хвороба легень: комплексна клінічна проблема

Інтерстиційна хвороба легень – це не одне захворювання. Це ціла група з понад 200 різних патологічних станів. Всі вони характеризуються ураженням інтерстицію легень. Це сполучнотканинний каркас, що оточує альвеоли. Захворювання мають різну етіологію та патогенез. Однак їх об’єднує прогресуюче порушення функції легень. Ключовими патологічними процесами є запалення та фіброз. Запалення часто є початковою стадією захворювання. Фіброз – це процес рубцювання легеневої тканини. Він призводить до незворотних змін та втрати функції.

Клінічні прояви та діагностичні складнощі

Симптоми ILD часто неспецифічні та з’являються пізно. Пацієнти можуть відчувати задишку при фізичному навантаженні. Також характерний сухий кашель та загальна слабкість. На ранніх стадіях симптоми можуть бути маловираженими. Це ускладнює своєчасну діагностику. Часто захворювання виявляють випадково при обстеженні з іншого приводу. Прогресуючий фіброз призводить до дихальної недостатності. Якість життя пацієнтів суттєво погіршується. Без своєчасного втручання прогноз може бути несприятливим.

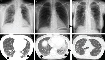
99mTc-maraciclatide: як працює новий діагностичний агент

99mTc-maraciclatide є радіоміченим трейсером для однофотонної емісійної комп’ютерної томографії. Він містить технецій-99m як радіоактивну мітку. Цей ізотоп має оптимальні характеристики для SPECT-зображень. Основним механізмом дії є висока спорідненість до αvβ3 інтегрина. Ця молекула адгезії клітин експресується на ендотеліальних клітинах судин. Її експресія різко зростає під час ангіогенезу. Ангіогенез – це процес утворення нових кровоносних судин. Він є ключовим компонентом запального процесу в легенях.

Переваги таємного механізму зв’язування

Зв’язування з αvβ3 інтегрином має кілька переваг. По-перше, це забезпечує високу специфічність до запальних вогнищ. По-друге, дозволяє відрізнити активне запалення від фіброзу. На ранніх стадіях ILD переважає запальний компонент. На пізніх стадіях розвивається фіброз. Це має критичне значення для вибору терапії. Протизапальні препарати ефективні лише при активному запаленні. При переважанні фіброзу вони можуть бути неефективними. Навіть більше – можуть завдати шкоди через побічні ефекти.

Діагностичні виклики: розрізнення запалення та фіброзу

Однією з найбільших проблем у веденні пацієнтів з ILD є диференціація. Лікарям потрібно чітко розрізняти запальний та фібротичний компоненти. Існуючі методи візуалізації мають обмеження в цьому плані. Комп’ютерна томографія високої роздільної здатності є золотим стандартом. Вона дозволяє оцінити структурні зміни легеневої тканини. Однак вона не завжди може відрізнити активне запалення від фіброзу. Це призводить до суб’єктивності в інтерпретації. Біопсія легень є інвазивною процедурою з ризиками ускладнень. Вона не підходить для динамічного спостереження.

Клінічна необхідність неінвазивного моніторингу

Лікарям потрібен безпечний метод для повторних обстежень. Він має дозволяти оцінювати динаміку захворювання. Також важливо моніторити відповідь на лікування. Ідеальний метод має бути неінвазивним та об’єктивним. Він має надавати кількісні показники активності захворювання. Це дозволить приймати обґрунтовані рішення щодо терапії. Також можна буде раніше виявляти загострення. Рання корекція лікування покращує прогноз для пацієнтів.

Роль візуалізації у сучасному веденні ILD

Візуалізаційні методи відіграють центральну роль у діагностиці ILD. Вони допомагають встановити діагноз та оцінити тяжкість. Також вони дозволяють виключити інші патології. КТ органів грудної клітки є основним методом. Вона дає детальну картину структурних змін. Однак функціональні методи мають додаткові переваги. Позитрон-емісійна томографія з фтордезоксиглюкозою використовується обмежено. Вона має обмежену специфічність до запалення в легенях. Новаційні радіофармпрепарати можуть заповнити цю прогалину.

Потенціал молекулярної візуалізації

Молекулярна візуалізація – це перспективний напрямок діагностики. Вона дозволяє візуалізувати біологічні процеси на молекулярному рівні. Це відкриває нові можливості для ранньої діагностики. Також можна оцінювати ефективність лікування на ранніх етапах. Підхід ґрунтується на використанні специфічних мічених молекул. Вони зв’язуються з цільовими білками в патологічних вогнищах. Це забезпечує високу контрастність зображень. Також дозволяє отримувати кількісні дані.

Клінічні дослідження та перспективи застосування

Попередні дані фази 2 клінічного дослідження PREDICT-ILD. Попередні дані другої фази виглядають обнадійливо. Вони показали можливість візуалізації запалення у пацієнтів з фіброзною ILD. Повні результати дослідження очікуються протягом цього року. Дослідження PREDICT-ILD має проспективний дизайн. Воно включає кількісну оцінку КТ-зображень. Метою є оцінка прогресування інтерстиційної хвороби легень. Також досліджується кореляція з клінічними параметрами.

Подальші етапи розвитку препарату

Після отримання статусу Fast Track розробка прискориться. Наступним етапом будуть масштабні клінічні дослідження третьої фази. Вони мають підтвердити ефективність та безпеку препарату. Також буде оцінено вплив на клінічні рішення. Важливим аспектом є стандартизація методики сканування. Потрібно розробити протоколи дозування та отримання зображень. Також важлива підготовка фахівців з інтерпретації результатів. Успішні дослідження дозволять подати заявку на схвалення FDA.

методи діагностики інтерстиційної хвороби легень

Вплив на клінічну практику та пацієнтів

Впровадження нового методу діагностики інтерстиційної хвороби легень змінить практику. Лікарі отримають об’єктивний інструмент для оцінки активності захворювання. Це дозволить персоналізувати лікування для кожного пацієнта. Можна буде точніше підбирати протизапальні препарати. Також можна буде своєчасно коректувати терапію. Це підвищить ефективність лікування та зменшить побічні ефекти. Для пацієнтів це означає покращення якості життя. Також можливе уповільнення прогресування захворювання.

Економічні аспекти нової діагностики

Нова методика може мати позитивний економічний вплив. Рання та точна діагностика дозволяє уникнути непотрібного лікування. Це зменшує витрати на неефективні препарати. Також зменшуються витрати на лікування ускоднень. Поліпшення контролю захворювання знижує потребу в госпіталізаціях. Це важливо для систем охорони здоров’я. З іншого боку, потрібно враховувати вартість нового препарату. Також вартість обладнання для SPECT-КТ. Важливо провести аналіз вартості та ефективності.

Міні-FAQ: поширені питання про ILD та діагностику

Що таке інтерстиційна хвороба легень? Це група захворювань, що уражають сполучну тканину легень. Вони характеризуються запаленням та рубцюванням. Призводять до порушення газообміну та дихальної недостатності.

Чим небезпечна ILD? Захворювання має прогресуючий характер. Може призводити до незворотного фіброзу легень. Це обмежує функцію легень та погіршує якість життя. Важливе своєчасне лікування для уповільнення прогресування.

Як діагностують ILD зараз? Основним методом є комп’ютерна томографія. Також використовують функціональні дихальні тести. Іноді потрібна біопсія легень. Клінічний огляд та анамнез також важливі.

Що дає нова методика діагностики? Вона дозволяє відрізнити активне запалення від фіброзу. Це критично для вибору лікування. Також дозволяє моніторити відповідь на терапію. Метод є неінвазивним та об’єктивним.

Коли методика стане доступною? Препарат перебуває на стадії клінічних досліджень. Після схвалення FDA він може стати доступним. Точні терміни залежать від результатів досліджень. Статус Fast Track має прискорити процес.

Висновок: майбутнє діагностики респіраторних захворювань

Надання статусу Fast Track препарату 99mTc-maraciclatide є важливим кроком. Він відображає потребу в покращенні діагностики ILD. Точна диференціація запалення та фіброзу залишається критичною проблемою. Нова методика молекулярної візуалізації обіцяє вирішити її. Це може змінити парадигму ведення пацієнтів з інтерстиційною хворобою легень. Лікарі отримають потужний інструмент для прийняття рішень. Пацієнти отримають більш ефективне та безпечне лікування. Розвиток персоналізованої медицини в пульмонології прискорюється.

Подальші клінічні дослідження визначать місце нового методу в практиці. Важливою буде інтеграція з існуючими підходами. Також потрібно навчання фахівців новим методикам. Успіх цієї технології може стимулювати розвиток аналогічних підходів. Це для діагностики інших захворювань легень. Майбутнє діагностики респіраторних захворювань виглядає перспективно. Інновації в молекулярній візуалізації відкривають нові можливості.

Джерело